NUHS Institutions will NEVER ask you to transfer money or disclose bank details over a call.
If in doubt, call the 24/7 ScamShield helpline at 1799, or visit the ScamShield website at www.scamshield.gov.sg.
The stomach is located in our upper abdomen and is part of our digestive system. It connects the esophagus (gullet) with the small intestine. It acts as a food reservoir, mixes the food ingested and secretes liquid substances that aid digestion. Stomach Cancer (Gastric Cancer) usually occurs when cells in the inner layer of the stomach wall grow and divide without stopping. Over time, these cells will form lumps called tumours and the cancer may invade more deeply into the stomach wall.
* People who think they may be at risk should discuss this with their doctor
Early Stomach Cancer (Gastric Cancer) may not show any noticeable signs or symptoms. Below are some symptoms of Stomach Cancer (Gastric Cancer) although other conditions may also cause those symptoms:
*A doctor should be consulted if the symptoms above occur.
There are two ways to prevent Stomach Cancer (Gastric Cancer):
Most often these symptoms can often be a result of other diseases other than cancer, only a doctor can tell for sure. Follow up and make an appointment immediately with your doctor if you experience these symptoms.
Stomach Cancer (Gastric Cancer) is curable if detected early.
If you experience any of the symptoms mentioned, the doctor may refer you to see a specialist after asking about your personal and family medical history and a physical examination.
The following tests are used to diagnose Stomach Cancer (Gastric Cancer):
Endoscopy
Your doctor uses an endoscope (a flexible tube with a miniature camera attached to the end) to look directly at the stomach. If necessary, the doctor can take a small sample of the tissue (a biopsy) to be examined. This is inserted through the mouth into the stomach.
Barium X-Rays
You will have to swallow a liquid containing Barium (Barium is a metallic compound that shows up in x-rays). X-Ray pictures will then be taken when the Barium flows down to the stomach and reveals the structure and abnormalities of the stomach. The test will take about 15 minutes and it is not painful. If a cancer is found, other tests are required to find out whether it has spread to other organs.
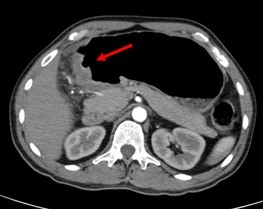
Computed Tomography Scan (CT Scan)
An X-ray that produces detailed cross-sectional images of your body, the Computed Tomography Scan (CT scan) takes many pictures as it rotates around you. These pictures are then combined into images of slices of the part of your body being studied by a computer.

The stomach can be viewed fairly through the CT scan and can often confirm the location of the cancer. The CT scan can also show organs near the stomach such as the liver, lymph nodes, and distant organs where the cancer might have spread. The CT scan can help determine the extent or stage of cancer and indicate whether surgery may be a good treatment option.
Endoscopic Ultrasound (EUS)
During an Endoscopic Ultrasound (EUS), a small transducer is placed on the tip on an endoscope. You will then be sedated as the endoscope passes down your throat and into your stomach. The transducer will then rest directly on your stomach wall where the cancer is.
Through an EUS, layers of the stomach wall as well as the nearby lymph nodes and other structures just outside the stomach can be seen. An EUS typically has better picture quality than a standard ultrasound due to the shorter distance the sound waves take to travel.
An EUS is most useful in determining how far a cancer may have spread into the stomach wall, nearby tissues, or nearby lymph nodes. It can also be used to extract tissue samples.
Diagnostic Laparoscopy – Peritoneal Metastasis from Stomach Cancer (Gastric Cancer)

A Diagnostic Laparoscopy is typically performed in an operating room with the patient under general anaesthesia. A laparoscope (a thin, flexible tube) is then inserted through a small surgical opening in the patient's side.
The laparoscope has a small video camera attached to its ends, which allows pictures of the inside abdomen to be sent to a TV screen. Through these pictures, surfaces of the organs, nearby lymph nodes, and even extraction of small tissue samples can be obtained.
If cancer does not seem to have been detected, sometimes, a "washing" of the abdomen with saline (salt water) will be done. The fluid will then be removed and checked for cancer cells. This helps to check if the cancer has spread, even if it was failed to be captured by the laparoscope.
Sometimes, laparoscopy is combined with ultrasound to provide a clearer picture of the cancer.
There are different treatments available for Stomach Cancer (Gastric Cancer) depending on the stage, type and the position of the Stomach Cancer (Gastric Cancer). Factors other than the stage of the cancer that might have an impact on your treatment decision include your age, your overall health, and your own preferences. The three main types of treatment include surgery, radiation and chemotherapy.
Surgery
Surgery is the most important treatment for Stomach Cancer (Gastric Cancer) in the early stages (where cancer is confined to the stomach). The most common treatment is called gastrectomy. There are two types:
If the cancer is too bulky to be removed, a connection will be made between the stomach and small intestine. This will relieve the symptoms but will not cure the cancer.
“Tailor Approach” Treatment Strategies
EMR/ESD

Laparoscopy

Open

Laparoscopic Gastrectomy (LAG) - Trend at NUH (2005 - 2013)

Chemotherapy
Chemotherapy is the use of drugs to help kill cancer cells and shrink the size of the tumour. It can be given alone or combined with radiotherapy before or after surgery. It is also the treatment of choice if the patient is not suitable for surgery. The drugs are given into a vein or by mouth. Once the drugs enter the bloodstream, they spread throughout the body. In Stomach Cancer (Gastric Cancer), multiple chemotherapy sessions are usually required.
Radiation Therapy
Radiation therapy is a cancer treatment that uses high energy x-rays or other types of radiation to kill cancer cells or to keep them from growing. There are two types of radiation therapy – external and internal. The way the radiation therapy is given depends on the type and stage of the cancer being treated.
Radiation is usually administrated after surgery together with chemotherapy to kill very small remnants of the cancer that cannot be seen and removed during surgery. Radiation therapy can also be used to ease the symptoms of advanced Stomach Cancer (Gastric Cancer).

Optimising Clinical Care
Surgery is the main form of treatment used in the cure of Stomach Cancer (Gastric Cancer). At the NCIS, we have a Upper Gastrointestinal (UGI) tumour multidisciplinary team (MDT) comprising of surgeons, medical and radiation oncologists, radiologists, pathologists, nurse clinicians and research nurses. The team is dedicated to optimising the level of care for our patients at the clinical level. This is done through weekly MDT meetings for discussions on patient conditions and how to provide the best treatment support for our patients with expert opinions from various cancer specialists.
The care for our patients does not stop after the treatments are administered. At the NCIS, the patients and family members are educated on how to cope and manage the illness through our Patient Supportive Care Programmes.
Research
In order to constantly provide the most effective treatment options and improve the disease outcome, our team is active in conducting many clinical trials and have initiated several studies involving different centres and countries across the region.
In 2007, the National University Health System (NUHS) established the Singapore Gastric Cancer Consortium (SGCC) from a translational Research flagship grant under the National Medical Research Council (NMRC). To keep abreast on activities conducted by the SGCC, click here.
For novel therapy, our researchers have established a real-time genomic platform which provides a molecular classification that can predict both prognosis and drug responses. In addition, through the use of multiple gene expression platforms, this has led to the identification of new therapeutic targets that allow for specific targeted therapy. In addition, our researchers have also identified stomach cancer (gastric cancer) stem cells aiding in the understanding of the cancer biology and the development of new treatment processes. To find out more about the findings, click here.
Patient Supportive Care Programmes
At the NCIS, we strongly believe that it is important to provide patients and their family members with an environment where they can seek psychological, educational and therapeutic support. At the NCIS, we offer a range of Patient Supportive Care Programmes to provide a platform for Stomach Cancer (Gastric Cancer) survivors, patients and their caregivers to come together and share their experiences with one another in their fight against Stomach Cancer (Gastric Cancer) alongside the support from our surgeons, oncologists, nurses and allied health workers.
Interactive activities are also organised regularly to allow our patients to feel at ease in communicating with others which in turn encourages mutual sharing and support in the process.
For more information about our Patient Supportive Care Programmes, click here.
The Gastric Cancer Treatment Team at NCIS is led by Associate Professor Jimmy So together with his team of medical professionals. The team is committed to delivering uncompromised and dedicated clinical research, expertise and care in the prevention, management and cure of Gastric Cancer.
Surgery
Gastroenterology & Hepatology
Medical Oncology
Pathology
Radiation Oncology
Radiology
Health Matters - Novel Drug Delivery Technique for Advanced Cancer Patients
CNA938 interviewed Dr Kim Guowei, Consultant, NUH’s Division of General Surgery (Gastrointestinal Surgery), who shared that the Pressurised Intraperitoneal Aerosol Chemotherapy (PIPAC) procedure is a novel method of anti-cancer drug delivery that has been successfully introduced to Singapore at NUH and the National University Cancer Institute, Singapore (NCIS). This new approach to cancer treatment could potentially bring hope to patients with advanced cancer who suffer many side-effects and still do poorly on conventional chemotherapy. NUH and NCIS have been performing this novel cancer treatment in Asia since December 2016.
NUH trials new form of chemotherapy for late-stage patients
A novel method of anti-cancer drug delivery that allows targeted, more even and greater penetration into the cancer cells has been successfully introduced to Singapore at NUH and National University Cancer Institute, Singapore (NCIS). This new approach to cancer treatment could potentially bring hope to patients with advanced cancer who suffer many side-effects and still do poorly on conventional chemotherapy.
Led by Professor Jimmy So, Head and Senior Consultant with NUH’s Division of General Surgery (Upper Gastrointestinal Surgery) and Dr Yong Wei Peng, Senior Consultant from the Department of Haematology-Oncology, NCIS, NUH and NCIS have been performing this novel cancer treatment in Asia since December 2016. To date, 49 PIPAC procedures for 31 patients have been performed.
Blood test kit rolled out to detect gastric cancer early
A team of clinicians and scientists from Singapore has developed a non-invasive blood-based diagnostic test for gastric cancer. Professor Jimmy So, Head and Senior Consultant with NUH Division of General Surgery (Upper Gastrointestinal Surgery), Associate Professor Too Heng-Phon from NUS Medicine Department of Biochemistry and Dr Calvin Koh, Consultant with NUH Division of Gastroenterology and Hepatology, shared that this non-invasive blood test is a breakthrough in gastric cancer diagnosis and it may potentially be used as an effective screening test for the early diagnosis of gastric cancer.
Trial treatment for stomach cancer extending lives
Dr Yong Wei Peng, Senior Consultant, Division of Haematology-Oncology, NCIS and Professor Jimmy So, Head, Division of General Surgery (Upper Gastrointestinal Surgery) NUH were interviewed on two stomach cancer trials. The first is an ongoing trial where the chemotherapy drug was injected directly into the abdominal cavity of patients with a particular type of stomach cancer. The second study, which is about precision medicine, found that oxaliplatin worked better in patients with the intestinal sub-type than the diffuse sub-type. A participant of the first trial, Mdm Cindy Chia also shared her experience.
New way to better predict stomach cancer
According to the World Health Organization, Stomach Cancer is the 3rd deadliest cancer in the world. In Singapore, it is the 4th most common cause of cancer death in men, and 5th most common in women, claiming 300 to 500 lives every year. The main reason for this is late detection - 2/3 of Stomach Cancer patients are only diagnosed at an advanced stage. The good news is, researchers from the National University Health System (NUHS) and Duke-NUS Medical School have devised a new genetic sequencing technique to help in the early detection of stomach cancer.
Unlocking the secrets of gastric cancer